Table of Contents
The second wave of corona virus is becoming deadly and the virus is spreading very fast among the people, now a new disease has spread among the people, this new disease is mucormycosis.
Cases of mucormycosis have increased rapidly in patients recovering from covid-19. And the disease is becoming more deadly for patients.
In this article we will learn what this disease is, how deadly, and what precautions should be taken to avoid infection.
What is mucormycosis?
Mucormycosis is a type of fungal infection, also called black fungus. The old name was zygomaycosis because the disease was found in the zygomatic bone of the upper jaw. A few years ago, the name was changed to mucormycosis, as the disease was also found in other parts of the body, such as the nose and upper Jaw, sinus, eye, skin, lung, and brain.
Thus the disease is new to people but, for many years this disease was existed .Earlier cases of this disease were rare and people did not know much about it.
Prior to the Corona period, the disease occurred only in people with low immunity, such as HIV patients, those with severe diabetes, organ transplants, and long-term use of steroid drugs.
Currently, there has been a sudden increase in cases of this disease after recovery in the second wave of corona.
Cause of mucormycosis infection
Corona virus, as you all know, lowers the immune system; And that is why this fungus which takes advantage of the opportunity i.e. what is called opportunistic infection very quickly enters the body through the nose and mouth of a person and causes damage.
It is natural for people who have recently recovered from corona to have low immunity so that this fungus can take advantage of it and enter the body through the nose or mouth and spread the infection.
People who have been taking steroids for a long time, have high levels of diabetes, comorbid patients like kidney, heart attack and cancer, gum disease pyorrhea as well as inadequate care of teeth and gums are at higher risk of this mucormycosis infection.
Which body part is affected with Mucormycosis Infection?
This fungal infection first occurs in the sinuses after corona recovery. And begins to damage upper teeth, gums and the bones of upper jaw.
The fungus also damages the blood supply to the jaw and bones so that the bones rot. Also and then affects the brain as well.
If not treated in time, it can lead to eye loss and in some cases death
Symptoms of mucormycosis
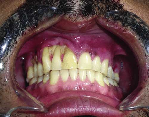
- If we talk about the symptoms of mucormycosis, in this disease the patient initially has toothache (tooth pain), jaw pain and swelling in the upper jaw, swelling in the side of the nose. Symptoms include bleeding from the gums and loosening of the teeth.

- If Infection spreads in the sinuses there is an accumulation of black fluid in the nose, black spot on the upper part of the nose and the nose closes on one side
- Swelling and pain in the eyes, inflammation in the eyes, blurred vision, watery eyes or improper movement of the eyes, diplopia (double vision), vision loss
- Headache, cough and shortness of breath
It is possible to cure this if it treated early in time. But there is also the possibility of death if the infection reaches the brain.
How deadly is mucormycosis disease?
In 20 to 30 percent of cases, person lost his eye sight after the infection. The infected part is surgically removed as soon as possible to prevent the infection from reaching the brain. Yet the mortality rate from this disease is as high as about 50 percent. CT scan, endoscopy or biopsy are needed to catch the disease.
What to do if you have above symptom
If any of the above symptoms appear, you should visit your dental surgeon immediately or check up with an ENT surgeon. The doctor will also perform a CT scan if necessary. And if this disease is diagnosed, it should be treated immediately
What is the treatment for this disease?
In most cases, surgery is required. In addition, injections of antifungal drugs such as amphotericin-B injection have to be given according to the weight of the patient. However, doctors are also prescribing anti-fungal tablets and lipid emulsions due to the shortage of these injections.
Most cases require more than one doctor, such as an Infection Disease Expert, ENT Surgeon, Maxillofacial Surgeon, Ophthalmologist and Neurologist. Also, the treatment is complicated and lengthy and costs between Rs 2 lakh and Rs 30 lakh. If you have health insurance then this will be helpful in extreme cost.
As the disease spreads very fast, you should seek the help of a suitable doctor immediately and start treatment without taking any kind of home remedy
What to keep in mind to avoid this disease?
Mucormycosis is found in the soil around us, in the dust, in the rotten leaves of trees, in rotten fruits, and in many places.
- Clean vegetables or fruits properly with water.
- Wear a double mask constantly so that the fungus does not enter into the body by breathing.
- Proper cleaning of gums and teeth is mandatory. If you find rotten, decayed or infected teeth, visit your dentist. (If you are in Rajkot, you can visit our Sanjivani dental clinic.)
- Replace your toothbrush and tongue scraper after recovery from Corona.
- Change the membrane of drinking water filter at home or office from time to time.
- People who have sugar, whether they have corona or not, should try to keep it below the level limit
- Do not use steroids manually and use them only under the supervision of a doctor if necessary.
- If you are giving oxygen cylinder to a corona patient at home, only sterile water or distilled water should be used in the water bottle i.e. humidifier in its regulator. If it shows black spots, clean the regulator or install a new one.
- Make every effort to boost the immune system, eat good healthy food. Keep positive thinking
There is no need to be afraid of this disease, by knowing the above information; you can avoid it with proper care.


