Loading...

Tooth Colored Filling

Dental Implant

A dental implant is a permanent way to replace a missing tooth. Dental implant can be used to replace single teeth or all your teeth. This is not a low-cost alternative, however, but it can provide enormous benefits to people who have lost teeth through accidents, decay or gum disease.

Table of Contents

What is a tooth filling?

Dental Fillings (restorations) are special materials used by the dentist to restore missing tooth structure due to decay or trauma. Decay makes the tooth hollow and dental filling helps to fill this gap, restore the normal form and function and protect it from further decay.

A filling can also be used to repair broken or cracked tooth and the teeth which wear off due to dental habits like teeth grinding, nail biting etc.

When does need dental filling?

There are various signs and symptoms where fillings can be required. The symptoms could be as below:

What is the procedure of tooth filling?

Tooth Filling is most commonly required if your tooth is decayed. It can prevent further damage and can protect your tooth from infection. The first step is evaluation of how deep the tooth decay is because dental fillings are only meant for treating early stages of decay.

The dentist will carry out the clinical examination and if needed an x-ray will be taken to gain more detailed information about the depth of decay.

If needed, the dentist will numb the tooth to be treated to avoid any pain during the procedure. This is followed by cleaning the damaged portion of the tooth with specialized tools and preparing it to receive a filling material.

A filling material is then placed inside the cleaned space and at the end the dental filling is finished and polished using different instruments.

Types of Fillings (Restorations) Material

Following materials are used as dental filling materials; these are generally completed in a single appointment

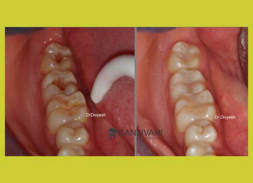
1. COMPOSITE- Tooth color filling material

Composite fillings are the newest and the most commonly used dental fillings in modern day dentistry.

A composite filling is made from different resin materials and filler particles that harden on exposure to a curing blue light.

They come with different colors for exact matching of filling material with tooth color that’s why this material is also known as tooth color filling material.

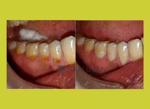
Composites are tooth-colored filling materials and so are widely used to restore lost tooth structure due to decay or tooth fracture due to injury. Or repair of broken front teeth, closing gap between front teeth (midline diastema closing)

Dental Implant
Dental Implant 2
Dental Implant 3
Dental Implant 4
Dental Implant 5
Dental Implant 6

Since this material is so aesthetically tooth colored, it is also used to design direct composite veneers which can mimic the features of a natural tooth. It is also possible to mask the discoloration of teeth by using composite material.

After removal of the decayed tooth structure, the dentist uses a gel based material to etch the tooth; this is done to increase the bonding of composite to tooth.

Following this, an adhesive solution is scrubbed on the tooth surface after completely drying out the tooth. Later, small increments of composite resin is placed inside the cleaned cavity, shaped according to tooth anatomy and hardened using a curing light.

Features: 2. GLASS IONOMER- Dental cement

Glass ionomer cements have different types, each indicated to use in different situations. This cement can not only be used as a filling material but also can help fix the crown to the teeth.

The glass ionomer cement is made from ion leachable glass, water, calcium, fluoride and many other components. This filling material is the most preferred while treating milk teeth.

As compared to other filling materials, this material has the shortest life span (less than 5 years) and thus not much suitable in restoring permanent teeth. It has an ability to release fluoride around the cavity.

Dental Implant

This property of the glass ionomer cement to release fluoride protects the tooth from acquiring decay again. Glass ionomers are weaker than composites and are highly prone to cracks, wear and tear.

Features: 3. DENTAL AMALGAM -silver fillings

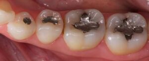
Silver filling has become a popular dental filling material since more than a century all around the world.

Silver filling is called as Dental Amalgam in medical terms and is made from an amalgamation of different metals like mercury, tin, copper and silver and varying proportions.

The liquid mercury is mixed with other powdered metals to form a mix that can be placed and shaped inside the cleaned cavities. Since it is made out of only metals, it has a distinct silver color and that’s the reason it is called “silver filling”.

Dental Implant
Dental Implant

In the recent years, silver amalgam fillings are no longer used because of the potential risks involved in it. Mercury is found to be hazardous for human health and studies show that mercury vapors arising from the amalgam fillings are harmful for the patient as well as the dentist as they can get absorbed and cause health problems.

We are not doing any silver filling due to is it harmful to human, above paragraph is just for information only

Features: 4.Indirect restorations

These require 2 or more appointments to get completed and are customized in a dental laboratory. Indirect fillings are similar to tooth-colored fillings but they are made in a dental laboratory and cannot be done in a single appointment.

Indirect fillings are the treatment of choice when not enough tooth structure remains to support a filling but at the same time the tooth is not so severely damaged.

The procedure starts by removing the decay or an old filling and cleaning up the cavity space. An impression is then made to record the tooth to receive the indirect restoration. This impression is then sent to a dental laboratory to fabricate an indirect filling.

These indirect restorations are fabricated from ceramic. Ceramic makes these fillings highly resistant to abrasion and stains.

Dental Implant

These indirect fillings can be categorized as: Inlay and Onlay.

Inlays are similar to fillings but the entire filling lies within the cusps (bumps) on the chewing surface of the tooth.

Onlays are more extensive than inlays, covering one or more cusps of a tooth. They are sometimes called partial crowns.

An onlay covers the chewing surface of the tooth like a crown and distributes the chewing forces, thus protects a weakened tooth structure.

Features:

Probably now you will think which material is suitable for me. Well it depend on various factor like extend of decay, loading area, looks, surface of teeth etc. so you should not worried about this we will diagnose your case and suggest which one is best for you.

Tooth Filling Cost in Rajkot

Cost of cavity filling depend on type of filling material is used; extend of decay and skill of dentist.

At sanjivani dental clinic Rajkot cost of tooth filling for

References

Related Articles

Blog Image

Tooth filling procedure | cost | Type of dental filling material

Dental Fillings (restorations) are special materials used by the dentist to restore missing tooth st...

Read more
Blog Image

What to eat after tooth filling, home care | FAQs

Different filling material will have different setting time dentist will tell you this time duration...

Read more
Blog Image

What is tooth decay, causes, how to prevent cavities

Ever wondered what do those black spots appear on your teeth and don’t go off even if you brush your...

Read more