Loading...

Wisdom Tooth Removal

Dental Implant

Table of Contents

What is wisdom tooth?

Wisdom tooth is a last tooth to come in your mouth. They are come behind the second molar at back part of jaw.

Dental Implant

They usually Trapped (impacted) Inside the jaw bone and gum because there’s not enough room in your mouth for them. A wisdom tooth also might be trying to come in sideways. Or, it might be tilted in your jaw.

Wisdom teeth are applied name; because they are come at mature age developing personal wisdom.

When wisdom teeth come in mouth

Wisdom teeth usually begin to come in between the ages of 17 and 21. Dentists call these teeth third molars. More often, they give people a lot of trouble as they try to come in. Wisdom teeth have a tendency to come in crooked or misaligned.

There are total 4 wisdom teeth in any parson 2 at bottom as well as 2 at top on each side. Wisdom teeth often grow in crooked, sideways, or otherwise misaligned. As they grow in, they can push on other teeth, causing problems of overcrowding and misalignment for them as well.

First signs of wisdom teeth coming in

First sign of wisdom teeth is pain around back part of jaw, sometime back part of gum may hurt while chewing, and sometime few people may not experience any kind of wisdom tooth pain or any discomfort.

Symptoms of wisdom tooth infection

  • Initially you may have pain in the back part of the jaw.
  • Biting of cheek or skin biting.
  • Sometimes difficulty in chewing food.
  • Food gets stuck and a bad smell may come from the mouth.
  • Gum around the last tooth may get swollen and red; sometimes pus comes out if an abscess develops.
  • Frequent swelling around the jaw.
  • Pain on one side of the head and fever.
  • Difficulty in mouth opening or reduced mouth opening.
Infection in Wisdom Tooth

When To Remove Wisdom Teeth?

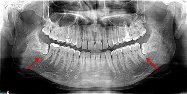
Not all coming wisdom teeth required to remove, if it is not causing any difficulty or pain you should not worried, still visit dental clinic for assessment of your wisdom tooth position by dental x-ray.

Dentist will recommend that they be removed early if they appear to be coming in at an angle or if they are misaligned, to prevent problems down the line.

Extraction is easier and recovery is quicker for younger people while the tooth root is still smaller, not as well developed, and the bone is less dense.

Why are wisdom teeth removed?

When wisdom teeth are badly aligned, they will crowd the second molars next to them. They can damage neighbouring teeth and even the jawbone. Or tooth growing sideways in gum

Often the wisdom teeth lean (tilt) toward the second molars when they come in. This makes both more susceptible to trapping plaque and food particles, which can cause tooth decay in both the wisdom tooth and the neighbour tooth.

Because of the location of these teeth, wisdom teeth are often difficult to brush, especially for people who have limited mouth opening, increasing the possibility of their developing cavities, infections.

Wisdom teeth removal surgery

Before surgery, it is especially important to let the doctor know about any illness you have and medications you are taking.

Dentist may take your x ray of wisdom tooth and he or she will decide the treatment plan for wisdom tooth removal

Dental Implant

Before removal of wisdom teeth you may get anaesthetise or numb with local anaesthetic agent so you will not feel any kind of pain while removals of wisdom tooth.

The time of wisdom tooth surgery may vary from one person to another depending upon difficulty level of surgery. If they are straight and in proper alignment, removal is fairly straightforward, much likes the removal of any other molar.

However, if they are angled, impacted or embedded in the bone, or have been infected or an abscess has formed, they can be little difficult to remove. Usually Wisdom teeth surgery time takes around 30 minutes. It depends on your particular case, but typically it will take no more than one and half hour.

Sometimes these teeth will be removed in pieces, rather than remove the whole tooth at once.

Of course, you are anesthetized for such wisdom tooth surgery, using local anaesthetics.

Wisdom tooth recovery

Following surgery, you may experience some swelling and mild discomfort, mild pain after wisdom tooth extraction which is last for few days which are part of the normal healing process.

Cold compresses may help decrease the swelling, and medication prescribed by your Dental Surgeon can help manage the discomfort.

You may be instructed to modify your diet following surgery. Recovery of wisdom tooth surgery usually came in 7 to 10 days.

What happened if not removed wisdom tooth?

Many people have suffered from wisdom teeth pain may get relief by medication but again it start causing pain and difficulty this happens when wisdom teeth do not fully come through the gum and are trapped within the jawbone.

This can be very painful, and trapped wisdom teeth have a tendency to develop infections, abscesses or swelling. This also decrease mouth opening when that happens, they need to be removed as soon as the infection is under control.

Does your face shape change after wisdom teeth?

Usually wisdom teeth removal does causes any changes on your facial appearance. initially you may experience swelling because of surgical removal but with recovery its get normal. so you did not worried about any changes on your face.

Wisdom tooth decay, what to do?

Decay of wisdom tooth usually occurs because of two reasons

  • The back of the jaw teeth is difficult for brushing, so food particles often get stuck in the last molar, leading to tooth decay.
  • Sometimes, the wisdom tooth comes in at an angle, creating a pocket around the tooth. Food particles can get trapped there, causing the wisdom tooth to start decaying.

So it is always advisable to remove wisdom tooth to maintain clean area and prevent damaging adjacent teeth

Wisdom Tooth Decay

Does everyone have wisdom teeth?

Study shows that almost 95-98 % person get wisdom tooth in mouth. In rare case, this wisdom teeth may lay down inside the jaw and does not cause any problem, and in less than 1% people may not develop wisdom tooth at all.

Related Articles

Blog Image

Wisdom tooth pain, why and what to do

Wisdom tooth is a last tooth to come in your mouth. They are come behind the second molar at back pa...

Read more