Table of Contents
You’re expecting, and you know that means some pretty big changes to your body for the next nine months at least. But you might unaware about oral health and pregnancy is link together
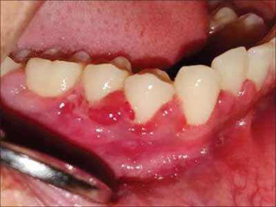
Your belly isn’t the only thing that’s swelling up these days. Your gums may also be extra tender, swollen, red, sensitive and prone to bleeding during pregnancy, especially when you brush and floss.
Your dentist may give you a diagnosis of pregnancy gingivitis; that is gum infection during pregnancy
Why gums bleed during pregnancy
Hormones
During pregnancy, hormones get excited and can cause many problems in your body especially in your mouth, mostly during first trimester and third trimester. Hormonal changes during pregnancy can make your gums more vulnerable to plaque,
Leading to inflammation and bleeding. This is also called pregnancy gingivitis or gum disease.
Especially estrogen and progesterone; this two hormone are responsible for bleeding gum.
Pregnancy gingivitis
If you notice a nodule on your gums that bleeds when you brush, take consultation with dentist. It’s most likely either a canker sore or a pyogenic granuloma (gum pop up), also known as a “pregnancy tumor” — a scary term despite the fact that it’s totally harmless. Dentist may advice to remove granuloma, in some case it may regrow, but it will subside after pregnancy
Food cravings while pregnant
Some women experience unusual food cravings (and food avoidance) while they are pregnant.
More specifically craving for sweet food (carbohydrate) further more tooth brushing can be neglected after they eat these kinds of food.
A regular desire for sugary snacks may increase your risk of tooth decay and gum infection
Less saliva production
Saliva act as a natural protector for teeth and gum from infectious bacterial also helps in wash out/remove small sticky food particle that adheres to gum and around the tooth.
Less saliva means that whatever you eat its stay around on the surfaces of your teeth for longer, potentially leading to a build up of plaque.
Plaque is the soft, sticky stuff that builds up on your teeth — and it’s full of bacteria that cause tooth decay and gum disease.
Tooth taboo/myth in pregnancy
You may have heard the saying “Gain a child, lose a tooth.” With your gums bleeding, it’s tempting to believe it’s true. But rest easy. Some women may say because of pregnancy tooth/gum become weak
Pregnancy does not automatically damage your teeth or gum directly. There are indirect effect on your teeth and gum and if you do not take proper attention and oral care may create consequences effect
Treatment for bleeding gums in pregnancy
Here are the most effective ways to take care of your bleeding gums:
Good oral hygiene
Oral hygiene is key to maintain healthy mouth proper tooth brushing with soft-bristled toothbrush is key to oral care make sure your tooth brush reach to every surface of tooth so that you don’t leave any food particle in oral cavity. Do regular flossing; do not skip as you may tired during this time.
Salt water gargle
Salt is a natural antiseptic and every one can find in kitchen, what you have to do is take cup of warm water and add half spoon of salt and gargle it, there are also some home remedy for bleeding gum as well
Reduce sugar intake
Excess sugar and good teeth don’t go together. Despite the cravings for sweet food especially chocolate candy, cookies ice-cream etc., you may want to limit your sugar intake and try to choose healthier options such as fresh fruits and vegetables which are great for baby health too
Eat balance diet
Eating right during pregnancy will help keep you and your baby healthy. Your baby’s teeth begin to develop between the third and sixth month of pregnancy, so making smart food choices while you’re pregnant can have an impact on your baby’s developing teeth.
Eat a variety of healthy foods, including fruits, vegetables, whole-grain products and dairy products like milk, cheese; avoid drinks high in sugar like cold drink or soda
Drink plenty of water, especially between meals and snacks
Visit your dentist.
Certain dental problems cannot be taken care with home care only, we always advice to take professional help of dentist.
Be sure to let your dentist know that you’re pregnant as soon as you know. He or she may need to adjust the treatments or medications given to you, such as postponing certain procedures until after your baby is born to avoid taking any risks. (Read which dental procedure is safe during pregnancy)Your dentist may suggest ultrasonic teeth cleaning or prescribe mouth wash for get rid of infection.
References
- https://www.whattoexpect.com/pregnancy/symptoms-and-solutions/gums-bleeding-sore.aspx
- https://americanpregnancy.org/naturally/treat-gum-disease-naturally-pregnancy-11381
- https://www.motherandbaby.co.uk/pregnancy-and-birth/pregnancy/pregnancy-health-conditions-explained/why-you-might-get-bleeding-gums-in-pregnancy-and-how-to-treat


