Our Dental Treatments
We provide all kinds of dental treatments like Dental Implants, RCT (Root Canal Treatment), Tooth removal, Cavity Filling, Wisdom tooth removal, teeth cleaning, kids dental care, dental cap, Braces and aligners for irregular teeth, Full Mouth Rehabilitation and other treatments. Below is the description of treatments we provide at our clinic in Rajkot, (Gujarat India).

Dental Implant Tooth
Replace missing teeth permanently with advanced dental implants in Rajkot. Sanjivani Dental Hospital provides painless implant surgery for a natural look, perfect fit, and long-lasting smile restoration.

Invisible Aligners
Achieve a confident smile with clear, removable aligners in Rajkot. Sanjivani Dental Hospital provides customized invisible aligner treatment — comfortable, discreet, and effective for teeth straightening without traditional braces.

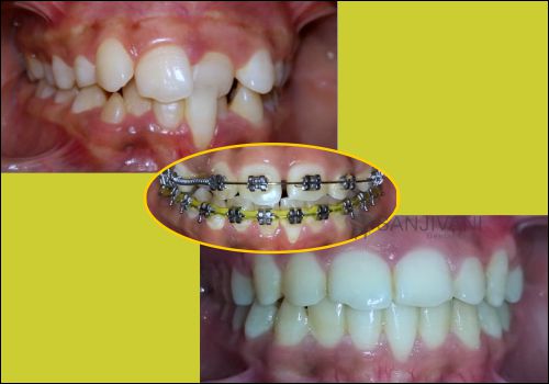
Orthodontic treatment
Do you shy away from smiling freely and confidently because of your teeth? Are your teeth crooked or placed outwards?
Straighten crooked or misaligned teeth with expert braces treatment in Rajkot. At Sanjivani Dental Hospital, our orthodontic specialists offer metal, ceramic, and self-ligating braces for a perfect smile and improved bite alignment.

Tooth Colored Filling
Get strong, aesthetic tooth-colored fillings in Rajkot to repair cavities and restore your natural smile. Our expert dentists ensure seamless, durable, and pain-free results.
A filling can also be used to repair broken or cracked tooth and the teeth which wear off due to dental habits like teeth grinding, nail biting etc.

Wisdom Tooth Removal
Experience safe and painless wisdom tooth removal in Rajkot at Sanjivani Dental Hospital. Our Dental surgeons use modern techniques to prevent swelling, pain, and post-surgery complications.

Child Dental Treatment
Gentle and caring pediatric dentistry in Rajkot for kids of all ages. We provide cavity fillings, root canal, fluoride care, and preventive treatments in a friendly, comfortable environment.

Teeth Whitening
Brighten your smile with professional teeth whitening in Rajkot. Sanjivani Dental Hospital offers safe, quick, and effective whitening treatments for dazzling, confident smiles.
The whitening of teeth is safe and easy, and more affordable than ever before. Because of these reasons, more and more people are opting for tooth whitening procedure.

Root Canal Treatment
Say goodbye to tooth pain with painless root canal treatment in Rajkot. Our specialists use advanced rotary technology for precise, infection-free results and lasting comfort.
A root canal treatment is a clinical procedure performed to repair and save a tooth that is badly decayed or infected. on top of cherry we used to do single visit root canal treatment

Teeth Cleaning/scaling
Maintain healthy gums and fresh breath with professional teeth cleaning and scaling in Rajkot. Our dentists gently remove plaque and stains for a brighter, healthier smile
Even if you brush and floss regularly, some amount of plaque and tartar builds up on your teeth and also below the gumline. During cleaning, we use a special ultrasonic device to remove the tartar above and below the gum line.

Dental Crown/Cap
Protect and strengthen damaged teeth with custom dental crowns in Rajkot. Sanjivani Dental Hospital offers zirconia, ceramic, and metal-free caps for natural appearance and durability.
A crown is a tooth-shaped cover or “cap” that is placed over a tooth by your dentist. The cap restores the tooth to its original shape, size, and function. A crown can make the tooth stronger or improve the way it looks.

Dental veneers /smile correction
Having damaged discolored or odd-shaped teeth can be of great concern for some people. Dental veneer is the answer to improve the appearance of the teeth and change a person’s smile.
Have you ever wondered why do most celebrities have a dazzling smile that is so charming?

Gum Disease Treatment
Swollen gums are a common problem, and can have a number of different causes
Gum disease can be painless, so it is important to be aware of any of the following symptoms: Swollen, red, tender or bleeding gums, bad breath or bad taste in mouth, Loose teeth,Visible pus surrounding the teeth…

Diamond on Teeth
Diamond on tooth is a fashion trend initially worn by many celebrities but now many people go for it to sparkle their smile.
If you want a wow factor on your smile, this is a new craze trending across the world, to make your smile unique, noticeable with good quality tooth jewellery.

Tooth Removal
There are a multiple reasons why one may need tooth extraction ranging from badly decayed teeth, removal of wisdom teeth, for making space for other crowded teeth and much more.
The dentist or surgeon will numb the tooth first to ensure a pain less procedure. Even though dental extractions can be scary, it can be the key for relieving dental pain and preventing future problems.

Denture
If you’ve lost all of your natural teeth, whether from periodontal disease, tooth decay or injury, complete dentures can replace your missing teeth and your smile.
Replacing missing teeth will improve your appearance, clewing ability and overall health.
