Table of Contents
Why teeth cleaning is important?
Many people fear getting their teeth professionally cleaned by a dentist because of those strange noises. Few even believe that it may damage their teeth even more, which is a myth.
If you are thinking of seeing your dentist for teeth cleaning, make sure to read this piece of information to wipe off your fear before your dental appointment.
Even if you brush and floss regularly, some amount of plaque and tartar builds up on your teeth and also below the gumline. Over the period of time, the tartar increases so much that it starts damaging the gums, and thus needs to be cleaned.
Tartar cannot be removed by simply brushing; it needs attention from a dentist/dental hygienist. During cleaning, we use a special ultrasonic device to remove the tartar above and below the gum line.
Earlier days before invention of ultrasonic device dental drill was used but now it is totally discourage so your teeth want damage any more.
Ultrasonic device for teeth cleaning

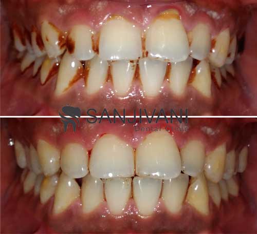
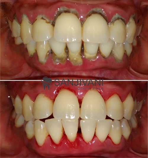
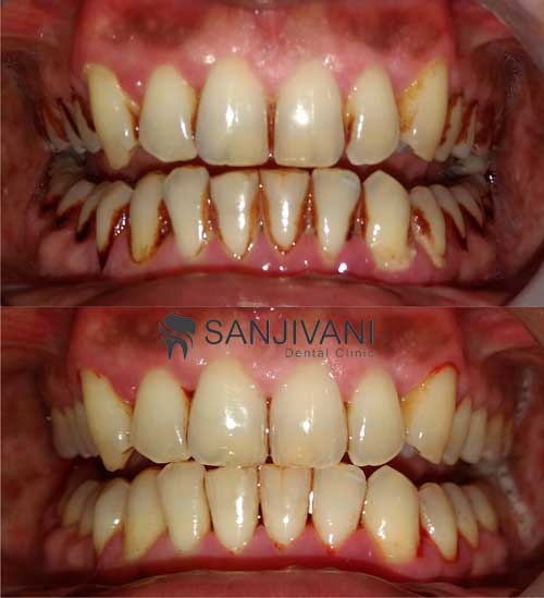
Teeth cleaning before after photos












Benefit of professional teeth cleaning
It is important to get your teeth cleaned by a dentist at least once a year as it saves you from many dental issues. There are a number of things a professional teeth cleaning does for you
Prevent cavities
Plaque accumulated on tooth surface is the leading cause of tooth decay. If this is not removed in a timely manner, it eats away at the tooth enamel and, if left unattended, can lead to decay. Plaque can be removed by brushing, flossing and dental cleanings.
Brighten your smile
A variety of foods and beverages like coffee, tea, tobacco or wine can stain your teeth. These stains can’t be removed by brushing. A dental cleaning can remove these built-up stains and leave you with freshly polished teeth.
Freshen your breath
Plaque and tartar on your teeth causes a foul smell from the mouth. Good oral hygiene is the best way to prevent bad breath. Thus, timely removal of plaque helps to freshen your breath.
Stop tooth loss
Gum disease starts with plaque build-up in and around the gum line. As gum disease progress, plaque moves further down where it can destroy the tooth supporting bone in your jaw, causing teeth to loosen and fall out. But the chance of this happening to you can be greatly reduced through regular dental cleanings along with good oral hygiene.
Boost your overall health
Studies have shown a connection between oral and overall health. Regular dental cleanings may help lower your risk for some diseases, like heart disease and diabetes. Some of the medical conditions can be detected in their early stages by your dentist during a routine oral examination.
Teeth cleaning procedure video
Post-treatment home care
After teeth cleaning/scaling:
Avoid acidic beverage like cold drink or lemon juice to prevent teeth sensitivity
Avoid smoking or food that causing stain like, turmeric, coffee, tobacco, red wine…
Use desensitizing toothpaste for 2 week to reduce sensitivity problem.
Things to remember after the teeth cleaning process:
- You should maintain oral care by daily brushing and rinsing; twice a day that will prevent tarter and stain build-up.
- Incorporate healthy foods daily meal like green vegetables, dairy products like milk and cheese ripe fruit
- Avoid sticky foods and sugary substances
- Reduce consumption of acidic food like tea, coffee, cold drinks, junk food
- Avoid biting fingernails, pens cap, pencils, etc and avoid using your teeth to open bottles or to tear packets.
Frequently asked questions
How many visits are required for teeth cleaning?
Most of teeth cleaning procedure are completed in one visit only. But in severe case may need 2-3 appointment to finished scaling procedure. Because tarter below gumline cause inflammation of gum. This inflammation of gum required time to heal
Do teeth cleaning hurt?
The honest answer is: it shouldn’t. Your normally scheduled dental cleaning should not cause you pain. However, there can be complicating factors like inflammation in the gums, tooth decay and other symptoms of oral disease that can lead to increased sensitivity.
What is the difference between teeth cleaning and whitening?
Often people get confused between teeth cleaning and whitening but these are totally different dental procedures. Teeth cleaning are an essential treatment for the health of your teeth and gums, just like maintenance of vehicle; whereas teeth whitening are more cosmetic and optional.
Teeth cleaning or teeth scaling can remove only tarter and stain cause by food habit it does not change original body colour of teeth,
In teeth whitening is a procedure to lighten or brighten up dark colour of teeth by chemical process.
What are the side effects of professional dental cleaning?
There are no side effects of professional dental cleaning per say. But some patients may experience few symptoms depending upon the already existing gum condition.
These are Bleeding-rarely; patients experience this, only in cases of inflamed gums. It lasts for a few days and get better on its own. Sensitive teeth- This is a temporary side effect as patient may feel minimal sensitivity for few days only.
How often should i get a dental cleaning?
At the very least, you should get your teeth professionally cleaned at least once a year. Most dentists recommend getting your teeth cleaned at least every six months.
If you are dealing with oral health issues like gum disease, then you need regular teeth cleanings about once every three months. The best way to figure out what number works best for you is to discuss it with your dentist during a consultation.
How soon can I eat after a dental cleaning?
After a regular dental cleaning you can eat unless you also received a fluoride treatment. If you received a fluoride treatment, you should wait for 30 mins before eating.
Also, avoid eating food that is high in acid like tomatoes, citrus fruits, pickles and fruit juice immediately after teeth cleaning. Spicy food can also cause discomfort in your mouth soon after cleaning.
Can I smoke after dental cleaning?
Avoid smoking. Smoking does not allow your gum tissue to heal soon after the cleaning process.
How long are teeth sensitive after cleaning?
Teeth can feel sensitive to cold or hot food soon after cleaning as gums have receded slightly because of tartar build-up. The gums heal in about 2-3 weeks and the sensitivity also disappears.
How soon can I brush my teeth after cleaning?
You can perform oral hygiene procedures on the same day as your teeth cleaning appointment. Your gums may be tender or teeth may feel sensitive, but it is important to maintain a plaque-free mouth for the gums to heal.
Are teeth cleaning necessary?
Yes! It is advisable to get your teeth professionally cleaned by a dentist/dental hygienist at least once a year to maintain gum and teeth health. It facilitates early diagnosis of any gum disease and also gives an idea of other diseases that you may have eg: diabetes.
How long is dental cleaning appointment?
Most dental cleaning appointments last for about 30 mins to one hour on an average, depending on the amount of tartar buildup on your teeth.
What are the types of dental cleaning?
There are 3 main types of professional dental cleaning: Prophylaxis cleaning, Scaling and root planning and gross debridement. They are all performed for different reasons, prophylaxis scaling being more of a preventive type of teeth cleaning.
Will my teeth look whiter after cleaning?
Yes! At least temporarily, because teeth cleaning remove stains and tartar from the teeth making them look whiter. But if you are looking for even whiter and brighter teeth then you may have to think about the process of teeth whitening.
Why are my teeth so yellow even though I brush them?
Teeth tend to turn yellow with certain habits like smoking, frequently drinking tea, coffee or wine or even some tooth structure itself is yellow colour. The stains caused by these habits do not go away by brushing or flossing, but requires a professional dental cleaning.
Can dental cleaning damage teeth?
It is a myth that dental cleaning can scrape off the enamel from your teeth. During a dental cleaning appointment, it may feel so because of the vibrations produced by the ultrasonic device, but it is only to remove the deposits on your teeth. We use latest US scaling machine and it will not cause any damage to your teeth
Teeth cleaning cost
Price of teeth professional teeth cleaning procedure is depend of type of stain and extend of condition
Teeth cleaning charge at sanjivani dental clinic-Rajkot is in a range of 800 INR – 2500 INR


