Table of Contents
દાંતનો સડો/dental cavities
દાંત ની સારવાર માટે આવેલ મોટાભાગના દર્દી એક સવાલ અચૂક કરે છે કે, અમે રોજ બ્રશ કરીયે છીયે તોય મારા દાંત કેમ સડી જાય છે. આપણ ને એમ જ હોય છે કે બે ટાઈમ બ્રશ કરી એટલે કોઈ પ્રોબ્લેમ ના થાય. પણ એવું નથી હોતું, દાંત ના સડા માટે બીજા કારણો પણ જવાબદાર હોય છે.અલબત દાંત ની બ્રશ વડે યોગ્ય સફાઈ કરવી તો જરૂરી છે જ પણ સાથે બીજા કારણો પણ જાણવા જરૂરી છે. જે આપણે આ લેખ માં જાણીશું અને તેને અટકાવવાના ઉપાયો વિશે ચર્ચા કરીશું.
દાંતનો સડો એટલે શું ?

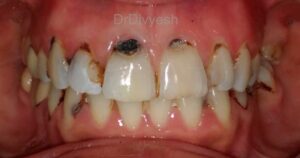
દાંતની કોઈ સપાટીએ દાંતનું ખનીજ બંધારણ ઓગળી જતા પડેલા ખાડાને દાંતનો સડો કહેવાય. સફેદ કલરના દાંતમાં દાંતનો સડો કાળા કે બ્રાઉન કલરના ખાડા રૂપે દેખાય છે. શરૂઆતના તબક્કામાં દાંતનો સડો માત્ર ટપકા કે પાતળી લાઈન જેટલો હોય છે.
બે દાંતની વચ્ચેની સપાટીએથી જો સડો હોય તો એવું પણ બને કે સડો દેખાય જ નહિ, અને તેવા સડાની તપાસ માત્ર એક્ષ-રે દ્વારા જ કરી શકાય છે.
દાંતનો સડો કોઈ પણ ઉંમરની વ્યક્તિને થઇ શકે છે. નાના બાળકથી વૃદ્ધ, સ્ત્રી, પુરૂષ, ગરીબ કે તવંગર, દાંતનો સડો કોઈ ભેદભાવ રાખતો નથી.
દાંતનો સડો એ શરદી પછી થતો સૌથી સામાન્ય રોગ છે. દાંતનો સડોએ મોઢામાં થતો મુખ્ય રોગ છે, જે દાંતના બહારી મજબુત પડ એવા ઈનેમલને ઓગાળીને દાંતને કાયમી નુકશાન પહોચાડે છે.
જો તેની યોગ્ય સારવાર સમયસર ન થાય તો બાળ અથવા યુવાન વયે દાંત ગુમાવવાનું સૌથી મોટું કારણ બને છે.
દાંતનો સડો કેમ થાય છે તે જાણવા માટે કેટલાક મુદ્દા સમજવા જરૂરી છે.
દાંતની રચના

દાંત એ નક્કર તેમજ શરીરમાં સૌથી વધારે મજબુત અંગ છે, પરંતુ દાંતની બરાબર વચ્ચે પોલાણ હોય છે, જેમાં દાંતની નસ હોય છે. ચિત્રમાં બતાવ્યા પ્રમાણે દાંતના બંધારણમાં બે પડ હોય છે. ઈનેમલ અને ડેન્ટીન. ઈનેમલ દાંતની બહારની સપાટી તરફ દેખાતો ભાગ છે, જે માનવશરીરમાં સૌથી મજબુત પેશી છે.
ઇનેમલની નીચેનું પડ તેમજ દાંતના મુળીયા ડેન્ટીનના બનેલા હોય છે, જે ઇનેમલ કરતા થોડા પોચા હોય છે. દાંતની બરાબર વચ્ચેના પોલાણમાં દાંતની નસ હોય છે જેને પલ્પ કહેવામાં આવે છે.
જેનું કાર્ય દાંતની સંવેદના જાળવવાનું તેમજ તેને પોષક તત્વો અને લોહી પહોચાડવાનું છે.
દાંતનો સડો કેવી રીતે થાય છે?
દાંતની કોઈ સપાટીએ દાંતનું બાહરી પડ /આવરણ ઓગળી જતા પડેલા ખાડાને દાંતનો સડો કહેવાય, પણ આ થાય છે કેવી રીતે ??
આપણા મોઢામાં કેટલીક જાતના બેક્ટેરિયા એસીડ બનાવે છે, જે દાંતના બાહરી પડ /આવરણ ઓગાળી નાખે છે. બેક્ટેરિયા આપણી જેમજ જીવ છે. જેમ આપણે ખોરાક લઈએ છીએ અને નકામાં પદાર્થોનું મળ દ્વારા ઉત્સર્જન કરીએ છીએ.
તેવીજ રીતે દાંતના સડા માટે જવાબદાર બેક્ટેરિયા (સ્ટ્રેપ્ટોકોક્સ મ્યુટન્સ અને એસીડોફીલસ લેક્ટોબેસીલાઈ) ખોરાક તરીકે શર્કરા/સુગર નો ઉપયોગ કરે છે અને નકામા પદાર્થ તરીકે એસીડનું ઉત્પાદન કરે છે, જે દાંતના બાહરી પડ ના બંધારણને ઓગાળી નાખે છે અને દાંતમાં સડો કરે છે.
દરેકના મોઢામાં સામાન્ય રીતે અસંખ્ય બેક્ટેરિયાઓ હોય છે. જો તમે તમારા મોઢાની વ્યવસ્થિત સફાઈ ન કરો તો દાંતની ઉપર પીળાશ પડતું છારીનુંમાં પડ જામે છે જેને ડેન્ટલ પ્લાક કહેવાય. આ ડેન્ટલ પ્લાક પેઢા નો રોગ પાયોરિયા માટે પણ જવાબદાર છે.
જેનો બેક્ટેરિયાના સમુહો ઘર તરીકે ઉપયોગ કરે છે અને વંશવૃદ્ધિ કરી પોતાની સંખ્યામાં અનેકગણો વધારો કરે છે. આ ડેન્ટલ પ્લાક માત્ર બેક્ટેરીયાને ઘર પૂરું પડતા નથી પણ તેમણે ઉત્પન્ન કરેલ એસિડને દાંતની સપાટી સાથે સંપર્કમાં રાખે છે. આ એસીડ દાંતના ખનીજ બંધારણને ઓગાળી નાખે છે અને દાંતમાં સડો શરૂ કરે છે.
દાંતનો સડો એક જ વખતમાં નથી થતો, તેનો ક્રમિક વિકાસ થતા કેટલાક મહિના કે વર્ષ લાગે છે, તેનો આધાર ડેન્ટલ પ્લાકન/ક્ષાર, તેમાં રહેલા બેક્ટેરિયાઓનો પ્રકાર, ખોરાકનો પ્રકાર અને ખાનપાનની ટેવ પર રહેલો છે. મીઠી તેમજ ચીકણી વસ્તુઓનો વધારે પડતો ઉપયોગ દાંતના સડાના વિકાસને ઝડપી બનાવે છે.
દાંતના સડાના લક્ષણો
દાંતના સડાના શરૂઆતના તબક્કામાં કોઈ પણ જાતનો દુખાવો થતો નથી. ચિત્રમાં બતાવ્યા પ્રમાણે જયારે દાંતનો સડો ઇનેમલ અને ડેન્ટીનને ખોતરી પલ્પ સુધી પહોચે ત્યારે જ દુખાવો થાય છે જે ઘણી વખત અસહ્ય અથવા કયારેક આશ્ચર્યજનક રીતે બિલકુલ થતો નથી.
દાંતમાં સડો થયેલ હોય અને જો તેમાં કોઈ જાતનો દુખાવો ન થતો હોય તો પણ તેની સારવાર કરાવવી ઇચ્છનીય છે.
એક વખત દાંતમાં સડો થાય પછી જયા સુધી સારવાર દ્વારા સડાને સંપૂર્ણપણે દુર ન કરાવો ત્યાં સુધી તે કયારેય અટકતો નથી અને ધીમે ધીમે ક્રમશ: ઊંડોને ઊંડો ઉતરતો જાય છે અને દાંતના માળખાનો નાશ કરી નાખે છે.
દાંત આખો સડી જાય અને છેલ્લે માત્ર તેના અવશેષરૂપ મુળીયા વધે ત્યારે તેમાં મુળીયા કઢાવ્યા સિવાય અન્ય કોઈ સારવાર શકય હોતી નથી. સાચી જાણકારી અને સમયસરની યોગ્ય સારવાર દાંત બચાવવાનો એકમાત્ર વિકલ્પ છે.
જો થોડીક સાવચેતી રાખવામાં આવે અને દાંતના સડાની જરૂરી સારવાર સમયસર કરાવી લેવામાં આવે તો દાંતને વધુ સડતો અટકાવી શકાય અને દાંતને ચોક્કસપણે બચાવી શકાય.
દાંતના સડાનું જોખમ ક્યારે વધારે હોય છે?
- સતત મીઠો તેમજ ચીકણો ખોરાક જેમકે ચોકલેટ, ગોળ, આઈસ્ક્રીમ
- નાના બાળકોને ઊંઘમાં પણ દૂધની બોટલ મોઢામાં આપતા હોય. આ કુટેવ ચોકલેટ કરતા પણ વધારે ખતરનાક છે, આવી ટેવને કારણે મોટા ભાગના બાળદર્દીઓના બધા જ દુધિયા દાંત સડી જાય છે, આ રોગને બોટલ બેબી સિન્ડ્રોમ કહેવામાં આવે છે.
- નિયમિત તેમજ વ્યવસ્થિત બ્રશ ન થતું હોય.
- પીવાના પાણીમાં ફ્લોરાઈડની માત્રા જરૂર કરતા ઓછી હોય.
- વાંક ચુકા દાંત સડા તેમજ પેઢા ના રોગ નું જોખમ વધારે છે. એવા દાંત માં યોગ્ય સફાઈ થતી નથી.
- દાંતમાં ઊંડા તેમજ સાંકડા ખાડા તેમજ તિરાડો (pit and fissure) હોય, જેમાં ખોરાક ફસાઈ જતો હોય અને બ્રશ દ્વારા સરળતાથી સાફ થઇ શકતો ના હોય.
દાંતમાં થતો સડો અટકાવવાના ઉપાયો.
- મીઠો તેમજ ચીકણો ખોરાક નિયંત્રિત કરો.
- દરેક વખતે જમ્યા બાદ બ્રશ દ્વારા દાંતની વૈજ્ઞાનિક પદ્ધતિથી વ્યવસ્થિત સફાઈ કરવી.
- ફલોરાઈડયુક્ત ટુથપેસ્ટનો ઉપયોગ કરવો.(ફેમીલી ડેન્ટીસ્ટની સલાહ લેવી)
- જો દાંતમાં ઊંડા તેમજ સાંકડા ખાડા, તિરાડો હોય તો તેને દાંતના ડોક્ટર પાસે ખાસ ફ્લોએબલ કમ્પોઝીટ(પીટ એન્ડ ફીશર સીલન્ટ)થી સીલ કરાવો, જેથી દાંતમાં સડો થાય તેવું વાતાવરણ બને જ નહી. દાંતનો સડો અટકાવવાનો આ સચોટ ઉપાય છે.
- વાંકા ચુકા દાંત હોય તો તેને વહેલી તકે orthodontic સારવાર કરી સીધા કરી લેવા, સીધા અને લયબદ્ધ દાંત સડા નું જોખમ તો ઘટાડે છે, સાથે સાથે તમારી સ્મિત અને પર્સનાલિટી માં ચાર ચાંદ લગાવે છે. યાદ રાખો તમારૂ સ્મિત તમારા મુખ નું ઘરેણું છે.
- વિટામીન અને ખનીજ તત્વોથી ભરપુર અને રેસાવાળો ખોરાક લો. જયારે દાંતનું નિર્માણકાર્ય થતું હોય (ગર્ભાવસ્થાથી ૧૪ વર્ષ) ત્યારે વિટામીન અને ખનીજ તત્વો (ખાસ કરીને કેલ્શીયમ) દાંતના બંધારણ ને મજબુતી આપે છે, જે દાંતના સડા સામે જીવનભર રક્ષણ આપે છે. રેસાવાળો ખોરાક બરછટ હોવાથી દાંત સાથે ચોટતો નથી, ઉલટું અગાઉ ખાધેલા ખોરાકના અન્નકણો ને કુદરતી રીતે સાફ કરે છે અને સડો થવાની શક્યતાને દુર કરે છે
- દર છ મહિને તમારા દાંતની તબીબી તપાસ કરાવો, જેથી કોઈ દાંતમાં સડાના પ્રાથમિક ચિહ્નો ધ્યાનમાં આવે તો તેને યોગ્ય સારવાર દ્વારા ત્યાજ અટકાવી શકાય અને વધુ નુકશાન નિવારી શકાય.
દાંતના સડાની સારવાર
દાંતનો સડો દાંતમાં કેટલો ઊંડો છે, એટલે કે સડો કયા તબક્કામાં છે, તેના પ્રમાણે તેની સારવાર થાય છે. જો દાંતનો સડો ઈનેમલ કે ડેન્ટીન સુધી જ મર્યાદિત રહેલ હોય અને પલ્પ (દાંતની નસ) ને કોઈ નુકસાન થયું ન હોય તો માત્ર ડેન્ટલ ફિલીંગ દ્વારા કરી શકાય છે.
જો દાંતનો સડો વધારે ઊંડો હોય અને પલ્પ સુધી પહોચી જાય તો તેવા કેસમાં દાંત બચાવવા મૂળિયાની સારવાર (રૂટકેનાલ ટ્રીટમેન્ટ) જરૂરી બને છે. મોટા ભાગના કેસમાં સડેલા દાંતને યોગ્ય સારવાર દ્વારા બચાવી શકાય છે.


