Table of Contents
ડેન્ટલ ઇમ્પ્લાન્ટ શું છે?
ડેન્ટલ ઇમ્પ્લાન્ટ એ ટાઇટેનિયમ ધાતુ માથી બનેલ આર્ટિફિશ્યલ મૂળિયું છે
ડેન્ટલ ઇમ્પ્લાન્ટ એ કાઢી નાખેલ કે પડીગયેલ દાંતને રિપ્લેસ કરવા ની પદ્ધતિ છે. એટલેકે ડેન્ટલ ઇમ્પ્લાન્ટનો ઉપયોગ એક દાંત અથવા તમારા બધા દાંતને ફિક્સ કરવા માટે થઈ શકે છે.
ડેન્ટલ ઈમ્પ્લાન્ટ કુદરતી દાંત જેવું જ લાગે છે, કુદરતી દાંતની જેમ જ કામ આપે છે, કુદરતી દાંત જેવું જ મહેસુસ કરાવે છે. ડેન્ટલ ઈમ્પ્લાન્ટની સારવારમાં જડબાના હાડકામાં ટાઇટેનીયમ ધાતુનું મૂળિયું બેસાડવામાં આવે છે. ટાઇટેનીયમ એક જ એવી ધાતુ છે જેનો આપણું શરીર સ્વીકાર કરે છે. ઓર્થોપેડિક સર્જન જે ગોઠણમાં ધાતુના સાંધા ફીટ કરે છે, ફ્રેકચર થઇ ગયેલા હાડકા સાંધવા માટે ધાતુ નો ઉપયોગ થાય છે, તે ટાઇટેનીયમ ધાતુના જ હોય છે.

ડેન્ટલ ઇમ્પ્લાન્ટના ફાયદા શું છે?
ડેન્ટલ ઇમ્પ્લાન્ટના ઘણા ફાયદા છે, જેમાં નીચેનાનો સમાવેશ થાય છે:
- ડેન્ટલ ઇમ્પ્લાન્ટ તમારા પોતાના દાંત જેવા દેખાય અને ફિલ થાય છે, કારણ કે તેઓ જડબાના હાડકા સાથે જોડવા માટે રચાયેલ છે, તેઓ દાંતના નુકશાનને કારણે જડબાના હાડકાને બગાડતા અટકાવે છે, જેથી તમારો ચહેરો તેનો કુદરતી આકાર જાળવી રાખે છે. મોટા ભાગના દર્દીઓ ઈમ્પ્લાન્ટ દાંત તેમજ જ કુદરતી દાંત વચ્ચેનો ભેદ પારખી શકતા નથી
- દાંતના ચોખઠા( ડેન્ટર્સ) નબળા પેઢા ના કારણે ફિટ રહતા નથી તમારા શબ્દોને સ્પષ્ટ બોલાતા નથી ડેન્ટલ ઇમ્પ્લાન્ટ સુરક્ષિત રીતે એન્કર કરવામાં આવે છે જેથી દાંત હલનચલ કરતાં નથી અને આત્મવિશ્વાસ સાથે બોલી સખીએ છીયે .
- ડેન્ટલ બ્રિજવર્કના (કવર )વિકલ્પ તરીકે, ડેન્ટલ ઇમ્પ્લાન્ટ્સ માં બાજુના દાંત ને ઘસ્યા વગર ફિક્સ થાય છે .
- ડેન્ટલ ઇમ્પ્લાન્ટમાં કુદરતી દાંતની જેમ પોલાણ કે સડો થતો નથી જો કે તે કુદરતી દાંત કરતાં ચડિયાતો નથી
- ડેન્ટલ ઇમ્પ્લાન્ટ્સ સાથે ચાવવાની ક્ષમતામાં ખૂબ વધારો થાય છે કારણ કે તે તમારા પોતાના દાંતની જેમ કાર્ય કરે છે, જેનાથી તમે તમારા મનપસંદ ખોરાકને આસાનીથી જમી શકો છો.
તમારા ખોરાકનું પાચન અને એકંદર આરોગ્યમાં સુધારો કરો. દાંત વિના તમારો ખોરાક ચાવી શકાતો નથી અને એસિડિટી અને અપચો જેવી ગેસ્ટ્રિક સમસ્યાઓનું કારણ બની શકે છે. ડેન્ટલ ઈમ્પ્લાન્ટથી તમે તમારા શરીરના સ્વાસ્થ્યમાં ઘણો વધારો જોશો
ડેન્ટલ ઈમ્પ્લાન્ટ લાંબો સમય કામ આપે છે. ચોકઠું ૫ થી ૭ વર્ષ કામ આપે છે. ડેન્ટલ ઈમ્પ્લાન્ટ ટાઇટેનીયમમાંથી બનાવેલ હોય છે અને તે જડબાના હાડકા જોડે સજ્જડ રીતે જોડાયેલું હોય છે. આપનું શરીર તેને સહજતાથી સ્વીકારે છે. ગુમાવેલા દાંત ફરીથી બેસાડવા માટે ડેન્ટલ ઈમ્પ્લાન્ટ એક સચોટ ઉપાય છે.
ડેન્ટલ ઈમ્પ્લાન્ટથી ચહેરાના સ્નાયુઓને ઢીલા થતાં અટકાવી શકાય છે અને અકાળે દેખાતા વૃદ્વત્વને અટકાવી શકાય છે.
ડેન્ટલ ઈમ્પ્લાન્ટના આટલા બધા ફાયદાઓને કારણે તે કૃત્રિમ દાંત બેસાડવાની પદ્ધતિ તરીકે અત્યારે ખુબ જ લોકપ્રિય થઇ રહ્યું છે. વધારેને વધારે લોકો ઈમ્પ્લાન્ટને પસંદ કરી રહ્યા છે.
ડેન્ટલ ઇમ્પ્લાન્ટ કેવી રીતે મૂકવામાં આવે છે ?
પ્રથમ મુલાકાતમાં ડેન્ટિસ્ટ તમારા મોના દાંત , પેઢા અને જડબા ના હાડકા નું ચેક -અપ કરશે . ડેન્ટિસ્ટ તમારા CBCT (જડબાનું સીટી સ્કેન) જોશે આ હાડકાની રચના અને ઘનતાને સમજવામાં મદદ કરશે જ્યાં ડેન્ટલ ઇમ્પ્લાન્ટ કરવામાં આવશે.
સિંગલ ઈમ્પ્લાન્ટ પ્લેસમેન્ટ માટે સરેરાશ 20 -30 મિનિટ જેટલો સમય લાગતો હોય છે.
સારવાર શરૂ કરતા પહેલા ડેન્ટિસ્ટ એનેસ્થેટિક સોલ્યુશનથી જડબા ને ખોટું (anesthetized) કરી દેશે જેથી તમને ડેન્ટલ ઈમ્પ્લાન્ટ પ્રક્રિયા દરમિયાન કોઈ દુખાવો ન થાય. ત્યારબાદ ઇમ્પ્લાન્ટ કીટ અને અન્ય સાધનની મદદથી ડેન્ટિસ્ટ તમારા ડેન્ટલ ઈમ્પ્લાન્ટને કાળજીપૂર્વક જડબામાં મૂકશે.
ડેન્ટલ ઇમ્પ્લાન્ટનો હીલિંગ સમય
ઇમ્પ્લાન્ટમાં સામાન્ય રીતે ડેન્ટિસ્ટ 2 થી 3 મહિના રાહ જોવાનું કહે છે. આ સમયગાળા દરમિયાન તમારું ઇમ્પ્લાન્ટ સંપૂર્ણપણે જડબાના હાડકા (ઓસ્ટિઓઇન્ટિગ્રેટ) સાથે જામ થઈ જાય છે. આ એક કુદરતી ઉપચાર સમયગાળો છે જે આપણે અસ્થિના જીવવિજ્ઞાનને અનુસરવાનું છે.,
અમુક કેશ માં હાડકાનો માવો (બોન ગ્રાફ્ટ ) મૂકીને ઇમ્પ્લાન્ટ મૂક્યો હોય તો 5- 9 મહિના રાહ જોવી પડતી હોય છે.
કેટલાક ઇમ્પ્લાન્ટ જેમ કે બેસલ ઇમ્પ્લાન્ટ ઓસ્ટિઓફિક્સેશનના સિદ્ધાંત પર કામ કરે છે તે કિસ્સામાં તમને 3 થી 5 દિવસમાં તરત જ તમારા દાંત મળી શકે છે. આ એક નવી પદ્ધતિ છે
જો વ્યક્તિ પાસે પર્યાપ્ત જડબાનું હાડકું ન હોય, તો બેસલ ઇમ્પ્લાન્ટ તેમના માટે સારો વિકલ્પ છે.
ડેન્ટલ ઇમ્પ્લાન્ટ કોણ મુકાવી શકે?
સામાન્ય રીતે કહીએ તો સ્વસ્થ મોં ધરાવતા તમામ સ્વસ્થ લોકો ડેન્ટલ ઈમ્પ્લાન્ટ પ્લેસમેન્ટ માટે સારા ઉમેદવાર છે.
સૌપ્રથમ અમે તમારા જડબાના હાડકા અને પેઢાના સ્વાસ્થ્યનું મૂલ્યાંકન કરીએ છીએ અને ઇમ્પ્લાન્ટ સારવાર ની સલામતી સુનિશ્ચિત કરવા માટે અમુક લોહી ના રિપોર્ટ કરવાની જરૂર પડતી હોય છે
- ડેન્ટલ ઇમ્પ્લાન્ટ થી એક દાંત ફિક્સ થઈ શકે છે .

- 2 થી વધુ દાંત ને ઇમ્પ્લાન્ટ સપોર્ટેડ બ્રિજ થી ફિક્સ કરી શકાય છે.

- બધા દાંત કે બત્રીસી ને ઇમ્પ્લાન્ટ થી ફિક્સ કરી સકે છે.

ડેન્ટલ ઇમ્પ્લાન્ટની કિંમત
ડેન્ટલ ઈમ્પ્લાન્ટની કિંમત દરેક કેસમાં અલગ અલગ હોય છે. કેટલીક ઇમ્પ્લાન્ટ ટ્રીટમેન્ટ માં વધારાની સર્જિકલ સારવાર જેવી કે બોન ગ્રાફ્ટ અથવા સાઇનસ લિફ્ટિંગની જરૂર પડી શકે છે. આ તમારી સારવારમાં વધારાનો ખર્ચ થતો હોય છે.
સંજીવની ડેન્ટલ હોસ્પિટલ – રાજકોટ ખાતે ડેન્ટલ ઈમ્પ્લાન્ટની કિંમત 15000-30000 INR સુધીની છે
જો કે, ભારત જેવા દેશમાં ઇમ્પ્લાન્ટ સારવાર પશ્ચિમી દેશોની તુલનામાં ઘણી સસ્તી છે
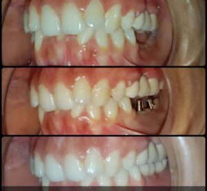
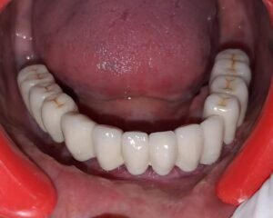
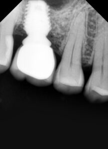
અમારી હોસ્પિટલ માં કરેલ ડેન્ટલ ઇમ્પ્લાન્ટ ના ફોટો









સમગ્ર ડેન્ટલ ઇમ્પ્લાન્ટ પ્રક્રિયામાં કેટલો સમય લાગે છે?
ડેન્ટલ ઇમ્પ્લાન્ટની સારવાર અનેક તબક્કામાં કરવામાં આવે છે.
પ્રથમ તબક્કામાં નિદાન અને ટ્રીટમેન્ટ પ્લાનિંગ કરવામાં આવે છે
બીજા તબક્કામાં ઇમ્પ્લાન્ટ મૂકવામાં આવે છે.
ત્રીજો તબક્કામાં ઇમ્પ્લાન્ટ કનેક્શન (abutment) મૂકી ફિક્સ દાંત લગાવવામાં આવે છે .
નોર્મલ કેશ માં આ સમગ્ર પ્રક્રિયામાં 2 થી 3 મહિનાથી વર્ષ કે તેથી પણ વધુ સમય લાગી શકે છે.
કાઢીનાખેલા કે પડી ગયેલા દાંત કેમ નાખવા જોય .
દાંત પડી જવાથી જડબામાં તે જગ્યા ખાલી થાય છે, આ ખાલી જગ્યાની આજુબાજુના દાંત ખાલી જગ્યા તરફ ઢળે છે અને દાંત તેની મૂળ જગ્યાથી ખસી જાય છે, આ કારણે દાંતની બત્રીસીનું સંતુલન ખોરવાય છે અને તેથી જડબાની ચાવવાની કાર્ય ક્ષમતામાં ઘટાડો થાય છે ચહેરાનો દેખાવ પણ બગાડે છે. બત્રીસીનું સંતુલન ખોરવાઈ જતા જડબાના સાંધામાં પણ તકલીફ થઇ શકે છે.
અધકચરું ચાવવાથી અપચો, ગેસ, એસિડિટી જેવી કેટલીક પ્રણાલીગત સમસ્યાઓ પણ દાંત ન મળવાને કારણે થઈ શકે છે.
ડેન્ટલ ઈમ્પ્લાન્ટથી આ બધી થતી સમસ્યાઓ અટકાવી શકાય છે.
ડેન્ટલ ઈમ્પ્લાન્ટ માટે કોઈ વય મર્યાદા નથી.
ડેન્ટલ ઈમ્પ્લાન્ટ વૃદ્ધ લોકોમાં એટલું જ સફળ છે જેટલું યુવાનો માં , પછી ભલે તે 60 કે 90 વર્ષના હોય,
કુદરતી દાંત ની તુલનામા માનવ સર્જિત દાંત ક્યારે પણ ચડિયાતો ના હોય, એટલેજ પેલી ચોઈસ નેકરલ દાંત ને બચવાવની હોય છે ભલે તે રૂટ કૅનાલ સારવાર (મૂળની સારવાર ) કરવી પડે.સંજોગો વસાત જો કાયમી દાંત કાઢી નાખેલ હોય તો ડેન્ટલ ઇમ્પ્લાન્ટ્સ, હાલના સમયમાં બ્રિજ અથવા ડેન્ટર્સની તુલનામાં દાંતને બદલવા માટે શ્રેષ્ઠ ઉકેલ છે. ડેન્ટલ ઇમ્પ્લાન્ટ લગભગ કુદરતી દાંતની જેમ અનુભવે છે અને કાર્ય કરે છે.
ડેન્ટલ ઇમ્પ્લાન્ટ ની સારવાર માં જરા પણ થતો નથી કારણ કે તમને એનેસ્થેસિયા આપવામાં આવશે. જેનાથી સમગ્ર પ્રોસીજર દુખાવા રહિત રહે છે . સારવાર બાદ તમને અમુક દવાઓ લખી આપશે તેથી તમારે પીડા વિશે ચિંતા ન કરવી જોઈએ.
એકવાર ઈમ્પ્લાન્ટ ક્રાઉન (દાંત ) ફિક્સ થઈ જાય પછી વ્યક્તિ 10-14 દિવસ પછી સખત ખોરાક ખાવાનું શરૂ કરી શકે છે. શરૂઆતના થોડા દિવસો માટે તમારે પોચા આહાર થી જમી સકાય
હા, ફક્ત તમારા ડેન્ટિસ્ટ જ ડેન્ટલ ઈમ્પ્લાન્ટને દૂર કરી શકે છે
સામાન્ય સંજોગો માં ડેન્ટલ ઇંપ્લાંટ વર્ષો સુધી જડબામાં જોડાયેલ રહે છે. અને તેનાથી બધાજ ખોરાક લાઇસકે છે.
અમુક કંડિશન જેમ કે ઊંચું સુગર લેવલ , મો ની અપૂરતી સફાઈ ,પેઢા કે હાડકાં નું ઇન્ફેકશન , જડબાનું ફ્રેકચર, બીડી,સિગારેટ ,કે માવા નું વ્યસન ,જેવા જનરલ ફેકટર આપના કુદરતી દાંત નું આયુષ્ય ઘટાડે છે એજ રીતે ડેન્ટલ ઇંપ્લાંટનું પણ આયુષ્ય ઘટાડે છે .
જો તમારા બધા દાંત કાઢી નાખેલ છે, તો ઇમ્પ્લાન્ટ સપોર્ટેડ ફુલ બ્રિજ અથવા સંપૂર્ણ ચોખઠાને ઇંપ્લાંટ થી ફિક્સ કરી શકાય છે .
પેઢા નું ઇન્ફેકશન (પાયોરિયા ), અનિયંત્રિત ડાયાબિટીસ, અપૂરતી દાંત ની સ્વચ્છતા, હાડકાં નો ચેપને જેવી કંડિશન માં ઇમ્પ્લાન્ટ્સ યોગ્ય નથી , બીડી, માવા કે તમાકુ નું વ્યસન ડેન્ટલ ઇંપ્લાંટ નું આયુષ્ય ઘટાડે છે.
ભાગ્યે જ કોઈ વ્યક્તિનું શરીર ડેન્ટલ ઈમ્પ્લાન્ટને નકારે છે. જડબાનું હાડકું ઇમ્પ્લાન્ટને સહેલાઈથી સ્વીકારે છે, ટાઇટેનિયમ ધાતુ બાયો ઇનર્ટ (bio inert) છે , જે આપનું બોડી તેને શરીર નો ભાગ સમજે છે .
જો યોગ્ય રીતે કાળજી લેવામાં આવે તો ડેન્ટલ ઈમ્પ્લાન્ટ ઘણા વર્ષો સુધી ચાલે છે. તેઓ એવા દર્દીઓ માટે પણ જીવનભર ટકી શકે છે જેઓ નિયમિતપણે બ્રશ કરે છે, વોટર ફ્લોસ કરે છે અને ડેન્ટિસ્ટદ્વારા કરવામાં આવેલી દાંતની ભલામણોનું પાલન કરે છે.
તમારે ડેન્ટલ ઈમ્પ્લાન્ટની જાળવણી માટે કોઈ વધારાની કાળજી લેવાની જરૂર નથી, તમારે નિયમિત બે વખત યોગ્ય બ્રશિંગ અને વોટર ફ્લોસિંગ તેમજ ઈમ્પ્લાન્ટ માં કોઈ નવી સમસ્યા છે કે નહીં તેની ખાતરી કરવા માટે નિયમિત ડેન્ટલ વિઝિટ કરવી.
જો દાંતની સફાઈ નબળી હોય, તો ઈમ્પ્લાન્ટની સપાટી પર બેક્ટેરિયા જમા થશે અને ઈમ્પ્લાન્ટની આસપાસ પેઢા માં ઇન્ફેકશન કરશે. અને આગળ જતાં હાડકાંનું ખવાણ (ઘસારો ) થાય છે. આખરે, નિષ્ફળ જાય છે. માટે રેગ્યુલર ડેન્ટલ ચેક અપ પણ કરાવવું પણ જરૂરી છે.
ધૂમ્રપાન કરનારાઓમાં ડેન્ટલ ઇમ્પ્લાન્ટ નિષ્ફળ થવાની શક્યતા ચાર ગણી વધારે છે. ધૂમ્રપાન, તમાકુ કે માવા નું વ્યસન પેઢા અને હાડકાં નો રોગ પાયોરિયા થવાની શક્યતા હોય છે. જે સમય જતાં ઇમ્પ્લાન્ટ ને સપોર્ટ કરતું હાડકું અને પેઢા નબળા પડે છે. માટે ડેન્ટલ ઇમ્પ્લાન્ટ ધરાવતા દર્દીઓ ધૂમ્રપાન અથવા તમાકુ નું વ્યસન ટાળે.
હા, ડેન્ટલ ઈમ્પ્લાન્ટ એ બાળકો માટે એક ઉત્તમ અને સ્માર્ટ લાંબા ગાળાનો ઉપાય છે કે જેમણે ઈજા કે અકસ્માતને કારણે કાયમી દાંત ગુમાવ્યા છે. દાંત ખોવાઈ જાય તે પછી શક્ય તેટલી વહેલી તકે ડેન્ટલ ઇમ્પ્લાન્ટ નિષ્ણાતની સલાહ લેવાની સલાહ આપવામાં આવે છે. જો કે, મોટા ભાગના સંજોગોમાં, ડેન્ટિસ્ટ તમારા બાળકના ચહેરાની વૃદ્ધિ અને વિકાસ પૂર્ણ ન થાય ત્યાં સુધી રાહ જોશે. સામાન્ય રીતે, આ છોકરીઓ માટે 16 વર્ષની આસપાસ અને છોકરાઓ માટે 18 વર્ષની આસપાસ થાય છે.


