Table of Contents
What is tooth sensitivity
Tooth sensitivity is tooth discomfort in one or more teeth that is triggered by hot, cold, sweet or sour foods and drinks, or even by breathing cold air. The pain can be sharp, sudden, and shoot deep into the nerve endings of your teeth.

Why Tooth Get Sensitive?
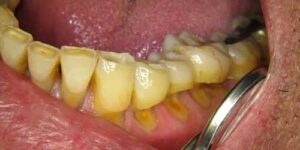
Tooth sensitivity occurs when the underlying layer of your teeth – the dentin – becomes exposed as a result of receding gum tissue (the protective blanket that covers the tooth roots). The roots, which are not covered by hard enamel, contain thousands of tiny tubules leading to centre of the tooth (the pulp). These dentinal tubules (or channels) allow the stimuli – for example, the hot, cold, or sweet food – to reach the nerve in your tooth, which results in the pain you feel.
There are many factors that may lead to the development of tooth sensitivity, including.
Cause of tooth sensitivity
- Brushing too hard. Over time, brushing too hard or using a hard-bristled toothbrush can wear down enamel and cause the dentin to be exposed. It can also cause recession of the gums (the gum tissue pulls away from the teeth).

- Recession of the gums. Receding gums expose the tooth roots, which are not protected by enamel and are more sensitive. Gum recession can be a result of gum disease, aggressive brushing, or aging. Using a soft-bristled toothbrush, practicing proper oral hygiene, and seeing your dentist for gum disease treatment can help manage gum recession and sensitivity.
- Gum disease (gingivitis). Poor oral hygiene leads to inflamed and sore gum tissue which may cause sensitivity due to the loss of supporting ligaments, which exposes the root surface that leads directly to the nerve of the tooth.
- Cracked teeth. Chipped or broken teeth may fill with bacteria from plaque and enter the pulp causing Inflammation.

- Dental caries. Cavities or decayed teeth can cause sensitivity, especially when they reach the inner layers of the tooth where the nerves are located. Regular dental check-ups and proper oral hygiene can help prevent and detect tooth decay early, reducing sensitivity.

- Teeth Grinding. Grinding or clenching your teeth may wear down the enamel and expose underlying dentin.
- Your age. Tooth sensitivity is highest between the ages of 25 and 30.
- Plaque build-up. The presence of plaque on the root surfaces can cause sensitivity.
- Mouthwash use. Long-term use of some mouthwashes. Some over-the-counter mouthwashes contain acids that can worsen tooth sensitivity if you have exposed dentin (the middle layer of the tooth). The acids further damage the dentin layer of the tooth. If you have dentin sensitivity, ask your dentist about the use of a neutral fluoride solution.
- Acidic foods. Regular consumption of foods with a high acid content, such as citrus fruits, tomatoes, pickles and tea, can cause enamel erosion.
- Overuse of whitening products: Frequent or excessive use of whitening toothpaste or over-the-counter whitening products can contribute to tooth sensitivity. It’s important to follow the instructions provided with these products and consult with your dentist for proper guidance.
- Recent routine dental procedures. Sensitivity can occur following teeth cleaning, root planning, crown placement, and tooth restoration. Sensitivity caused by dental procedures is temporary, usually disappearing in 1 to 3 weeks.
What Can You Do to Reduce Tooth Sensitivity?
Maintain good oral hygiene. Continue to follow proper brushing and flossing techniques to thoroughly clean all parts of your teeth and mouth.
• Use a soft bristled toothbrush. This will result in less toothbrush abrasion to the tooth surface and less irritation to your gums. Brush gently and carefully around the gum line so you do not remove more gum tissue. 
• Use desensitizing toothpaste. There are several brands of toothpaste available for sensitive teeth. With regular use you should notice a decrease in sensitivity. You may need to try several different brands to find the product that works best for you. Another tip. spread a thin layer of the toothpaste on the exposed tooth roots with your finger or a Q-tip before you go to bed. Do not use a tartar control toothpaste; rather, use a fluoridated toothpaste.
• Watch what you eat. Frequent consumption of highly acid foods can gradually dissolve tooth enamel and lead to dentin exposure. They may also aggravate the sensitivity and start the pain reaction. Avoid acidic food and beverages that erodes your tooth. Limit or avoid consuming hot or cold foods and beverages.
• Use fluoridated dental products. Daily use of a fluoridated mouth rinse can decrease sensitivity. Ask your dentist about available products for home use.
• Avoid teeth grinding. If you grind or clench your teeth, use a mouth guard at night.
• See your dentist at regular intervals. Get professional tooth cleaning, oral hygiene instructions, and fluoride treatments every 6 months (or sooner depending on your condition).
What dentists do to Reduce Tooth Sensitivity?
Dentists first diagnose and determine the causes of sensitive tooth; we have a variety of regimens to manage tooth hypersensitivity, including both in-office treatments and patient-applied products for home use.
Dental Sealants: In cases where sensitivity is caused by exposed tooth roots due to gum recession, dentists may recommend applying dental sealants. Sealants are thin coatings that cover and protect the exposed tooth surfaces, reducing sensitivity.
Dental Bonding or Fillings: If tooth decay or cavities are causing sensitivity, dentists may recommend dental bonding or fillings to restore and protect the affected teeth. These treatments seal the tooth structure and eliminate sensitivity.
If you are diagnosed with dentin hypersensitivity, your dentist may apply a desensitizing agent or a protective coating. You may be prescribed a fluoride gel or over-the-counter desensitizing toothpaste containing fluoride & other ingredients that block transmission of sensation from the tooth to the nerve.
In case of initial caries dentist remove caries part and restored with filling material, in advance caries or severe tooth wear may require intentional Root Canal Treatment and/or crown placement.
Bite Adjustments: Sometimes, teeth sensitivity can result from an improper bite or teeth grinding (bruxism). Dentists may perform bite adjustments or recommend the use of dental appliances, such as nightguards, to alleviate pressure on the teeth and reduce sensitivity.
Education and Oral Hygiene Guidance: Dentists play a crucial role in educating patients about proper oral hygiene practices. They can provide guidance on the use of gentle brushing techniques, appropriate toothbrushes and toothpaste, and the avoidance of acidic or abrasive substances that can worsen sensitivity.
It’s important to consult with a dentist to determine the underlying cause of your teeth sensitivity and to receive personalized treatment recommendations. They will perform a thorough examination, review your dental history, and discuss your symptoms to develop an appropriate treatment plan tailored to your needs.


