Table of Contents
પેઢાં નો રોગ પાયોરીયા
પાયોરિયા દાંતનો સૌથી વધુ થતો રોગ છે અને દાંત ગુમાવવાનું સૌથી મોટું કારણ છે.
સામાન્ય રીતે આ રોગ મોટી ઉંમરે ૩૫ થી ૪૦ વર્ષ પછી થાય છે. આ રોગ નાની ઉંમરે ભાગ્યે જ જોવા મળે છે. આ વિભાગમાં આપણે આ રોગ શું છે અને તે કેવી રીતે થાય છે તે સમજશું.
આ રોગમાં દાંતના બંધારણને કોઈ નુકશાન થતું નથી પણ દાંતના મુળીયાંને જડબાની અંદર મજબુત રીતે જકડી રાખતી પેશીઓને નુકશાન થાય છે. દાંતના મૂળિયાં હાડકા સાથે પેઢા તેમજ પેરીયોડોન્ટલ ફાઈબર દ્વારા મજબુત સ્થિતિમાં જકડાયેલા હોય છે.
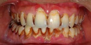
દાંતની વ્યવસ્થિત સફાઈ ન થતી હોય તો દાંતની ઉપર એક સફેદ પીળાશ પડતું પડ જામે છે. જેને પ્લાક કહે છે. જેનો બેક્ટેરિયાના સમૂહો ઘર તરીકે ઉપયોગ કરે છે. આ પ્લાક બ્રશ વડે બરાબર સાફ થઇ શકે છે.પરંતુ,નિયમિત બ્રશ વડે દૂર ન થાય તો તેમાં ક્ષારનો સંગ્રહ થઇ મજબૂત છારી (કેલ્કયુલસ /ટાટઁર) બને છે.
એક વખત છારી બની ગયા પછી તે બ્રશ વડે દૂર થઇ શકતી નથી એટલી મજબૂત રીતે દાંત સાથે ચોંટેલી હોય છે. આ છારી મોટેભાગે દાંત અને પેઢા જયા ભેગા થતા હોય તે ખાંચ પાસે જમા થાય છે. આ છારીના બંધારણમાં ૯૬% બેક્ટેરિયા હોય છે. જે પેઢામાં ચેપ ફેલાવે છે અને પેઢા પર સોજો લાવે છે.
પાયોરીયા કેવી રીતે થાય
જો આ છારી શરૂઆતના તબક્કામાં જ દૂર કરવામાં ન આવે તો ક્રમશઃ તેના જથ્થામાં વધારો થતો જાય છે અને વધારે પ્રમાણમાં પેઢાને નુકશાન કરતુ જાય છે. જેમજેમ રોગ તબક્કાવાર વકરતો જાય તેમ પેઢા પર સોજો વધતો જાય છે અને દાંતના મૂળિયાંને સજ્જડ રીતે પકડી રાખતા હાડકાનો નાશ થતો જાય છે, સાથે-સાથે પેરીઓડોન્ટલ ફાઈબર, કે જે હાડકા અને દાંતના મૂળિયાં વચ્ચે હોય છે અને દાંતને તેની મજબૂત સ્થિતિમાં રાખે છે, તેનો નાશ થતો જાય છે,
હાડકાની ઉચાઇ ઘટતી જાય છે, પેઢા નીચે ઉતરતા જાય છે, એટલે દાંતના મૂળિયાં ખુલ્લા થતા જાય છે, બે દાંત વચ્ચેની જગ્યામાં ખોરાક ફસાવાની સમસ્યા થાય છે, પેઢામાંથી રસી નીકળે છે, છારીના થર જામતા જાય છે.
બ્રશ કરતી વખતે પેઢામાંથી લોહી નીકળે છે, કયારેક તો આપમેળે પણ લોહી નીકળે છે, છારીને કારણે મોઢામાંથી દુર્ગંધ આવે છે અને છેલ્લે દાંત હલવા માંડે ને છેવટના તબક્કામાં વધારેને વધારે હલતો જાય છે અને પડી જાય છે અથવા પડાવવો પડે છે અને દાંત ગુમાવવો પડે છે.

યાદ રાખો
દાંતના આ રોગમાં ક્યારેક જ કોઈ કેસમાં દુખાવો થાય છે એટલે આ રોગ થઇ ગયો હોય તો એવા ભ્રમમાં રહેશો નહિ કે મને દાંતની કોઈ તકલીફ નથી.
પાયોરીયા ના લક્ષણો
શરૂઆતના તબક્કામાં આ રોગમાં પેઢા પર લાલાશ પડતો સોજો હોય છે, પેઢા પાસે દાંત પર કાળી કે પીળાશ પડતી છારી (કચરો ) જામી હોય જે બ્રશથી દૂર ન થતી હોય. આ છારી મોટેભાગે નીચેના આગળના દાંતમાં અંદરની બાજુએ વધારે જમા થાય છે.
બ્રશ કરતી વખતે કે આપમેળે પેઢામાંથી લોહી નીકળતું હોય, પેઢા દાંતની આજુબાજુથી ઉખડી ગયા હોય, પેઢામાં ક્યારેક ખંજવાળ આવતી હોય. આ તબક્કામાં દુખાવો થતો નથી પણ મો માથી વાસ આવવા ની ફરિયાદ હોય છે, જો કે મો માંથી દુર્ગંધ આવવાના કારણો બીજા પણ હોય છે.
વધારે આગળના તબક્કામાં પેઢા ફૂલી જાય છે, લોહી વધારે પ્રમાણમાં નીકળે છે. પેઢામાંથી રસી નીકળે છે, ક્યારેક જ દુખાવો થાય છે અને દાંત થોડાક પ્રમાણમાં હલતો હોય એવું લાગે.
છેલ્લા તબક્કામાં બધા લક્ષણોની તીવ્રતામાં વધારો થાય છે અને દાંત વધારે પડતો હલવા માંડે છે, દુખાવો કયારેક જ થાય છે. આશ્ચર્યજનક રીતે પાયોરિયાના મોટાભાગના કેસમાં છેલ્લા તબક્કામાં પણ કોઈ જાતના લક્ષણો જોવા મળતા નથી.
પાયોરીયા થતો અટકાવવાના ઉપાયો
દરરોજ નિયમિત દરેક વખતે જમ્યા બાદ દાંતની સાચી પધ્ધતિથી બ્રશ વડે સફાઈ કરવી જોઈએ . મોઢામાં જોરથી હલાવી પાણીના કોગળા કરવા. મીઠાવાળા પાણીનો ઉપયોગ ફાયદાકારક છે. પાનમસાલા, તમાકુ ખાવાની કુટેવ ન રાખવી.
પાયોરિયા થવાનું મૂળ કારણ છારી છે, જો દાંત પર છારી જામી ગઈ હોય તો તમારા દાંતના ડોક્ટર પાસે તે છારી અલ્ટ્રાસોનિક સ્કેલર ( સ્કેલીંગ ) દ્વારા દૂર કરાવવી જોઈએ. જેથી, આ રોગને શરૂઆતના તબક્કામાં જ અટકાવી શકાય અને દાંતને બચાવી શકાય.
પાયોરીયા ની સારવાર
પાયોરીયાની સારવાર અને પાયોરીયા ની દવા; રોગ તેના ક્યાં તબક્કામાં છે તેના પર આધાર રાખે છે. જો રોગ શરૂઆતના તબક્કામાં જ હોય તો માત્ર સ્કેલીંગ દ્વારા છારી દૂર કરવાથી અને તેમજ માઉથવોશ ના ઉપયોગ થી જ મટાડી શકાય છે.
વધારે આગળના તબક્કામાં હાડકાનું પ્રત્યારોપણ ( બોન ગ્રાફટીંગ ), પેઢાની સર્જરી ( ફ્લેપ સર્જરી )ની સારવાર દ્વારા કરી શકાય છે.
છેલ્લા તબક્કામાં જયારે દાંત એકદમ હલતો હોય અને વધારે પ્રમાણમાં પેઢા તેમજ હાડકાનો નાશ થઇ ગયો હોય તેવા કિસ્સામાં કોઈ સારવાર કારગત નીવડતી નથી ત્યારે છેલ્લા ઉપાય તરીકે દાંત કઢાવી નાખવો પડે.
પાયોરીયાને કારણે દાંત ગુમાવવા ન પડે તે માટે શું કરવું?
પાયોરીયા જ ન થાય તેવું વાતાવરણ ઉભું કરવું, તો તેના માટે શું કરવું જોઈએ ? નિયમિત જમ્યા બાદ દરેક વખતે વ્યવસ્થિત દાંતની કરવી જરૂરી છે. તેના માટે યોગ્ય ટૂથપેસ્ટ અને બ્રશ હોવું જરૂરી છે.(વાંચો –દાંત માટે કઈ ટૂથ પેસ્ટ સારી) છ મહિને કોઈ પણ તકલીફ ન હોય તો પણ તમારા દાંતના ડોક્ટરની મુલાકાત લો, જે મોઢાની તબીબી તપાસ કરશે અને જો દાંત પર છારી જામી ગઈ હોય તો સ્કેલીગ દ્વારા દૂર કરશે. સ્કેલીંગથી પેઢા તંદુરસ્ત થશે. તંદુરસ્ત પેઢા તમારા દાંતને જીવનભર મજબૂત રાખશે.


